Redaksi
Pedoman Media Siber
RRINet
Streaming
RRIDigital
RRINews
Manado
ID
ID
EN
Home
Hiburan
Hobi
Iptek
Kesehatan
Kuliner
Wisata
Budaya
Belum ada kategori
Iptek
Iptek
Home
Iptek
Iptek
Iptek
Dampak Positif Game Online di Balik Stigma Negatif
by Tjia Markus Tenny
3 Mar 2026
16 views
Iptek
Hiburan Menjadi Bahaya: Fenomena Kecanduan Game Online
by Tjia Markus Tenny
3 Mar 2026
Iptek
Apple Resmi Luncurkan iPhone 17e Berchip A19
by Fika Hamzah
3 Mar 2026
Iptek
Minahasa Utara Integrasikan Literasi hingga AI di Sekolah
by Noni Octavia
2 Mar 2026
Iptek
Indeks Literasi Sulut Anjlok Jadi 22 Persen
by Noni Octavia
2 Mar 2026
Berita
Terbaru
BRIN Kembangkan Peta Protein Laut Berbasis AI
Iptek
Oleh
Fika Hamzah
28 Feb 2026
BRIN Dorong Hilirisasi Atsiri lewat Parfum Nusantara
Iptek
Oleh
Fika Hamzah
28 Feb 2026
BRIN Kembangkan Glutation dari Limbah Bioetanol Nasional
Iptek
Oleh
Fika Hamzah
28 Feb 2026
Motorola Razr 60 Resmi Rilis di Indonesia
Iptek
Oleh
Fika Hamzah
22 Feb 2026
You Only Need One untuk Ramadan yang Lebih Baik dan Tetap Nyambung
Iptek
Oleh
Bobby Sambeka
22 Feb 2026
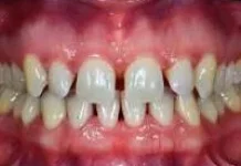
Mengenal Diastema dan Solusinya untuk Meningkatkan Percaya Diri
Iptek
Oleh
Grace Joice Wantania
21 Feb 2026
Tidak Suka Mendengarkan Rekaman Suara Sendiri? Ini Penyebabnya!
Iptek
Oleh
Grace Joice Wantania
21 Feb 2026
Kecanduan Gadget, Anak Lebih Rentan Terpapar Radiasi Ponsel
Iptek
Oleh
Lidya Priskila
16 Feb 2026
Vacuum Cleaner: Alat Penyedot Debu yang Mempermudah Hidup
Iptek
Oleh
Henny Esther Sompotan
8 Feb 2026
NASA Pastikan Gerhana Matahari Total Terjadi 2026
Iptek
Oleh
Yelin Selpiyani
19 Jan 2026
In
Depth
Angkutan Perintis Penentu Keberhasilan Kawasan Transmigrasi Baru
Indepth
5 Feb 2026
Tugu Pers Mendur Terabaikan, Jasa Pahlawan Foto Dilupakan
Indepth
17 Agt 2025
Harkodia: Momentum Perkuat Integritas untuk Indonesia Maju
Indepth
15 Des 2024
Pengibaran Bendera Dari Laut di Manado, Simbol Nasionalisme
Indepth
19 Agt 2024
Editor
ial
Rencana Pemerintah Menambah Anggaran Subsidi Demi Stabilitas Harga Energi
Editorial
2 hari yang lalu.
Geopolitik Minyak dan Mendesaknya Hukum Perdata Internasional
Editorial
4 hari yang lalu.
Diplomasi Aktif dan Perlindungan WNI Pascaserangan AS-Israel terhadap Iran
Editorial
4 Mar 2026
Pemerintah Dorong KPM Bansos Masuk Anggota Koperasi Merah Putih
Editorial
25 Feb 2026
Berita
Terpopuler
Loading...
Pusat Pemberitaan
Voice Of Indonesia
Aceh
Aceh Singkil
Banda Aceh
Lhokseumawe
Meulaboh
Sabang
Takengon
Bali
Denpasar
Singaraja
Bangka Belitung
Sungailiat
Banten
Banten
Bengkulu
Bengkulu
Bintuhan
DI Yogyakarta
Yogyakarta
DKI Jakarta
Jakarta
Gorontalo
Gorontalo
Jambi
Jambi
Sungaipenuh
Jawa Barat
Bandung
Bogor
Cirebon
Jawa Tengah
Purwokerto
Semarang
Surakarta
Jawa Timur
Jember
Kediri
Madiun
Malang
Sampang
Sumenep
Surabaya
Tuban
Kalimantan Barat
Entikong
Pontianak
Sintang
Kalimantan Selatan
Banjarmasin
Kalimantan Tengah
Palangkaraya
Kalimantan Timur
Samarinda
Sendawar
Kalimantan Utara
Malinau
Nunukan
Tarakan
Kepulauan Riau
Batam
Ranai
Tanjungpinang
Lampung
Bandar Lampung
Waykanan
Maluku
Ambon
Bula
Saumlaki
Tual
Maluku Utara
Ternate
Nusa Tenggara Barat
Mataram
Nusa Tenggara Timur
Atambua
Ende
Kupang
Papua
Biak
Bovendigoel
Jayapura
Merauke
Nabire
Serui
Wamena
Papua Barat
Fak Fak
Kaimana
Manokwari
Sorong
Riau
Bengkalis
Pekanbaru
Sulawesi Barat
Mamuju
Sulawesi Selatan
Bone
Makassar
Sulawesi Tengah
Ampana
Palu
Toli Toli
Sulawesi Tenggara
Baubau
Kendari
Sulawesi Utara
Manado
Tahuna
Talaud
Sumatera Barat
Bukittinggi
Padang
Sumatera Selatan
Palembang
Sumatera Utara
Gunung Sitoli
Medan
Nias Selatan
Sibolga
Tanjung Balai